[헬로티]
대표 3D프린팅 전시회인 ‘인사이드3D프린팅 컨퍼런스&엑스포 2020’이 지난 11월 18일부터 20일까지 총 3일간 일산 킨텍스 5홀에서 개최됐다. 첫째날 개최된 인사이드3D프린팅 컨퍼런스는 총 8명의 발표자가 참여해 산업별로 적용되는 3D프린팅 기술의 사례와 노하우를 참관객과 공유했다.

▲사진 : 서재창 기자
제조 공정을 개선하다
지난 11월 18일에 개최된 인사이드3D프린팅 컨퍼런스(이하 컨퍼런스)는 킨텍스 1전시장 그랜드볼룸에서 오프라인 행사로 열렸다. 이날 발표는 오전 키노트로 더블에이엠 황혜영 대표, 삼영기계 한국현 대표, 스트라타시스 김흥기 선임 엔지니어가 참석했다.
오후에는 현대자동차 조신후 책임연구원, 메디컬아이피 박상준 대표, 폼랩 김진욱 지사장, 에이엠벤처스 이상민 이사, EOS코리아 김승균 지사장이 참여해 총 8개의 세션으로 마련됐다.
오전 키노트는 더블에이엠 황혜영 대표의 발표로 시작됐다. 황혜영 대표는 ‘적층가공 기술의 글로벌 트렌드와 스마트팩토리 적용사례’라는 주제로 발표했다.
해당 세션에서는 적층가공 기술을 활용한 시제품 제작, 생산보조 도구의 제작, 적층제조 활용 관련 글로벌 트렌드 및 국내 적용 트렌드를 살폈다. 이뿐 아니라 적층제조 기술의 다양한 스마트팩토리 사례를 공유했다.
황혜영 대표는 “오늘날 서플라이 체인이 변하고 있다. 즉, 공급망 간소화를 목표로 비용 효율적 생산체계와 생산 시간 단축하기 위해 많은 경쟁력이 집중되고 있다. 관건은 유통 채널을 축소해 얼마나 빨리 고객에게 제품을 전달할 수 있느냐다”고 말했다.
황 대표는 자동차 브랜드인 미니 쿠퍼의 사이드 램프, 지멘스 모빌리티가 진행한 트램 부품 교체 등의 사례로 불필요한 공정을 줄이고 고객 만족도를 높이는 3D프린팅 기술을 설명했다.
끝으로 그는 “스마트공장에서의 3D프린팅은 인터스트리 4.0의 핵심기술이며, 제조에 직접 연결되는 분야다. 이 기술은 기존 거대한 공정을 간소화하고 공정 프로세스로 혁신 제품을 생산하는데 도움이 되고 있다”고 말했다.
이어 그는 “고객 맞춤형 제품 생산, 제품 공급망 개선, 디지털 인벤토리 구축과 같은 결과를 도출한 사례들이 점차 많아지고 있다. 3D프린팅은 고객의 만족도를 높이고 고객 경험을 보조하는 기술로 발돋움할 것으로 보인다”고 덧붙였다.
두 번째 키노트를 담당한 삼영기계 한국현 대표는 ‘3D프린팅 기술을 이용한 제조 공정 혁신’이라는 주제로 발표를 시작했다. 한국현 대표는 “뿌리산업 혁신을 가속화하지 않으면, 국내 제조업의 미래가 불투명한 상황이다”고 밝혔다.
한 대표는 “경쟁력이 낮아지고 있는 주조산업에서도 기술 첨단화를 통한 공정 혁신이 절실하다. 또한, 최근 다품종 소량 생산 제품의 증가에 따라 제조업의 경쟁 양상이 적기 신시장 선점이 중요한 속도전으로 바뀌고 있다”고 덧붙였다.
이번 발표에서 한 대표는 이 같은 제조 산업의 환경 변화를 고려한 3D프린팅 기반 제조 공정 혁신에 대해서 설명했다. 특히 샌드 3D프린팅 기술 융합으로 탄생시킨 제조 공정 혁신 사례를 언급했다.
이번 발표를 통해 한 대표는 샌드 3D프린팅 기술을 양산 공정에 어떻게 적용하는지, 기존 패턴 방식 대비 어느 정도의 소재 품질 향상이 가능한지, 3D프린팅 코어를 통한 생산성의 극대화가 얼마나 가능한지 등에 대한 구체적인 윤곽을 제시했다. 또한, 제조업이 아닌 다른 다양한 산업에서의 혁신을 위해 3D프린팅 기술이 어떻게 활용될 수 있는지에 대해서도 언급했다.
오전 마지막 발표로 참가한 스트라타시스 김흥기 선임엔지니어는 ‘효율적인 제품 디자인 프로세스를 위한 3D프린팅 솔루션’이라는 주제로 적층제조가 인더스트리 4.0과 스마트팩토리 이니셔티브에 어떻게 적합한지에 대해 알아봤다. 최근 이러한 추세는 많은 중소기업과 OEM, 정부 투자의 핵심 이니셔티브가 되고 있다.
김흥기 선임 엔지니어는 3D프린팅이 이러한 이니셔티브에 어떻게 부합하는지, 왜 3D프린팅이 물리적, 디지털 변환의 기본 구성 요소가 돼야 하는지, 글로벌 제조업체가 디지털 전략 구현을 위해 최근 3D프린팅을 적용한 사례 등에 대해 공유했다.

▲3D프린팅은 기존 거대한 공정을 간소화하고 공정 프로세스를 혁신한다. (출처 : 더블에이엠)
전문성을 기반으로 산업에 파고들다
오후 첫 번째 세션은 현대자동차 조신후 책임연구원이 ‘3D프린팅 기술을 활용한 자동차 부품 생산사례 연구’라는 주제로 발표를 진행했다. 이 발표에서는 3D프린팅이 실제 자동차 부품으로 사용되는 사례에 대한 소개가 주를 이뤘다.
조신후 책임연구원은 실제 설계자의 의도를 그대로 반영해 적용 가능한 부품부터 기술적인 한계로 인해 설계자가 어떻게 3D프린팅을 위한 작업 과정을 거치는지 구체적인 사례를 공유했다.
또한, DfAM을 적용한 부품의 위상최적설계부터 프린팅 제작, 후처리 공정까지의 전반적인 제조 과정을 공유해 가능성과 한계점을 점검했다.
조신후 연구원은 “현대자동차가 제작한 후드 힌지의 경우, 강도는 올라가고 무게는 줄었다. 프로토타입 자동차를 만들 때 150대 정도 생산하는데, 이를 위한 금형 생산보다 3D프린팅으로 제작하는 편이 합리적이라고 판단했다"고 말했다.
조신후 연구원은 또 하나의 예를 들며 "헤드램프에 들어가는 히트싱크다. 히트싱크에 필요한 방열판을 3D프린팅으로 제작한다. 제작 시 표면적을 늘리는 설계를 진행했고, 이는 냉각 효과를 높이고 무게를 감소시키는 효과를 가져왔다”고 말했다.
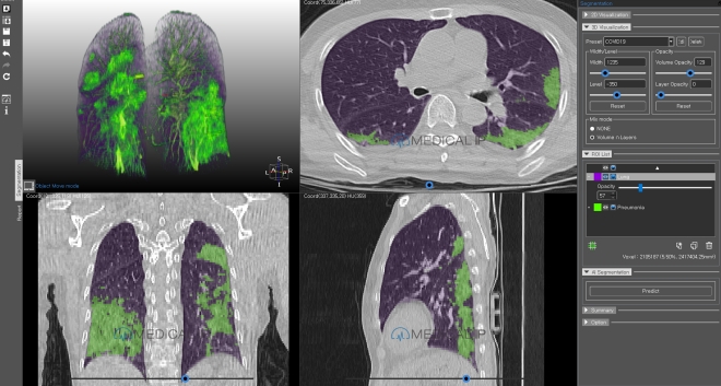
이어 메디컬아이피 박상준 대표가 ‘인공지능 강화 3D 프린팅 기술로 생명을 살릴 수 있습니다’는 주제로 다음 발표를 이었다. 박상준 대표는 “10여년 전 대학의 연구소에서 3D프린팅을 처음 접했다. 거대하고 비싼 장비였기에 사용에 부담감을 느꼈다”고 말했다.
박 대표는 “이후 3D프린팅 기술이 대중화의 흐름을 타고 저렴해졌지만, 여전히 3D프린팅 작업의 가장 큰 장애물은 다양한 비용에서 문제가 발생하며, 이는 의료 분야에서 특히 두드러진다”고 덧붙였다.
오늘날 의료 분야에 적용되는 3D프린팅은 워크플로우 소프트웨어 플랫폼을 활용함으로써 3D프린팅 작업에 소요되는 시간 비용, 다수의 연구원이 함께 움직이는 기회비용, 그리고 재료· 기계 활용 등에 대한 경제적 비용을 해결하고 있다.
AI 기술 기반의 의료용 3D프린팅 플랫폼은 3D프린팅 기술을 활용하는 의료진의 수술 전 의사결정능력과 정확성 및 효율성을 향상시킬 수 있으며 실제 의료현장에서 생명을 살리는 사례를 만들고 있다.
박상준 대표는 “전문의의 경험과 노하우를 집약한 AI를 활용하게 되면서 영상을 구현하기 더 쉬워졌다. 다양한 기능을 활용해 실제와 동일하게끔 구현할 수 있다. 360° 돌려보거나 단면을 잘라보는 등 디테일한 표현도 가능하다”고 말했다.
3D프린팅되기 전 추출된 데이터는 비주얼 프린팅이라는 기술로 현실감 있게 모델링된 장기구조물로 표현되며, 이 정보는 웹으로 연동될 뿐 아니라 모바일로 손쉽게 공유된다.
박 대표는 “맞춤형 의료 3D프린팅은 세 가지가 핵심이다. 의료영상 분석과 모델링 기술, 소재·재료에 대한 전문성. 병원·의료진과의 소통이다. 맞춤형 의료 3D프린팅은 세 가지 모두가 확보돼야 하는 기술 집약 맞춤형 모델이라 할 수 있다”고 말했다.

▲MEDIP Pneumovid(출처 : 메디컬아이피)
시장 확대와 산업화 위한 도약
이상민 아시아 지역 총괄이사는 ‘적층제조 산업에서 스타트업의 역할은?’이라는 주제로 발표를 진행했다. 시제품 제작에서 시작된 적층제조는 2035년까지 미화 3천500억 달러(한화 약 420조 원) 시장으로 성장하기 위한 준비를 마쳤다.
이상민 이사는 “3D프린터 기업은 코로나19로 인한 예산 동결 등의 이유로 올해 매출 하락을 피할 수 없었다. 반면, 의료, 헬스케어 등 기회가 되는 산업 분야도 존재했다. 즉시 제조가 가능한 기술로 활용됐고, 몇 가지 좋은 사례를 만들었다. 이 같은 시장 요구에 대응하는데 스타트업이 큰 역할을 담당했다”고 언급했다.
이는 적층제조 기술이 과거의 비즈니스 모델을 대체하거나 제조 방식을 자체를 바꾸는 솔루션이 됐다는 것을 의미한다. 3D프린팅 솔루션에 대한 전문 투자기관의 수와 규모의 급격한 증가는 주요 기업 전략가가 적층제조가 지닌 다양한 이점을 실현했다는 방증으로 해석된다.
시장에서는 비용, 생산성 등 당면 과제를 해결하고 적층제조의 이점을 극대화해 산업 규모 생산에 대한 기술 채택을 가속화하기 위해 더 많은 기술 솔루션이 필요한 것도 사실이다.
이상민 이사는 “스타트업은 동 산업의 성공에 많은 기여를 했으며 앞으로도 그들의 빠른 속도와 창조성, 유연성을 활용해 미래에 중요한 역할을 할 것”이라고 말했다.
이어 그는 “스타트업은 작은 조직이기에 애자일(agile)하고 수요에 대응하며 고객과의 소통이 원활한 조직이다. 변화가 큰 지금 같은 상황에서는 스타트업이 두각을 나타내고 있다. 한 예로, 대기업이 스타트업과 파트너십을 맺거나 인수를 진행하는 등의 사례가 늘고 있다”고 덧붙였다.
끝으로, 그는 “APEC에서 스타트업의 성공 확률은 7%로 굉장히 낮은 편이다. 적층제조 관련 생태계가 구축이 미비하다 보니 기업이 독립적으로 활동하기 어렵기 때문일 것이라고 생각한다. 그럼에도 적층제조 관련 스타트업은 지속해서 증가하고 있다. 향후에는 어떤 어플리케이션을 발굴하느냐가 중요한 포인트가 될 것”이라고 예측했다.
마지막 세션으로 참가한 이오에스(EOS)코리아 김승균 지사장은 ‘금속 적층 제조의 산업화 현황’이라는 주제로 발표를 진행했다. 금속 적층제조는 비교적 자유로운 설계 덕분에 퍼포먼스향상, 부품의 단순화, 경량화 등을 목적으로 많이 적용되고 있다.
몇 년 전부터 양산 및 제품적용에 관련된 이슈가 지속해서 보고되고 있지만, 아직 많은 기업이 적층제조의 혜택보다 불확실성에 무게를 두고 있어 적극적인 기술도입을 망설인다.
김승균 지사장은 “적층제조의 가장 큰 장점은 원가절감 및 비효율적인 공급망, 프로세스를 획기적으로 줄이는 제조공정이다”고 말했다.
이어 그는 “금속 3D프린팅은 느리다고 생각할 수 있다. 제품으로서의 적층제조를 원한다면, 두 가지를 고려해야 한다. 제품 형상의 복잡도와 전체 공정의 복잡성이다. 기존 공법으로 만들기 어렵거나 시일이 오래 걸리는 어플리케이션을 찾아보는 활동이 필요하다”고 강조했다.
또한, “따라서 적층제조의 장단점을 명확히 구분하고, 그에 따른 적절한 제품전략과 프로세스를 설정하는 과정이 새로운 제조 시대를 준비하는 굉장히 중요하다”고 덧붙였다.
김승균 지사장은 최근 적층제조를 이용한 생산 사례와 새로운 기술을 공유하며, 적층제조를 고려하는 기업에서 무엇을 준비해야 하는지 설명했다.





