[헬로티]
삼성메디슨과 인텔은 기술 협력을 통해 산모와 태아의 안전에 기여하고 태아의 생명을 구하는 데 도움을 줄 수 있는 새로운 스마트 워크플로우 솔루션을 개발 중이라고 밝혔다.
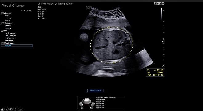
삼성메디슨이 발표한 바이오메트리어시스트(BiometryAssist)는 ‘인텔 코어 i3 프로세서’와 ‘인텔 오픈비노 디스트리뷰션’, ‘오픈CV 툴킷’을 적용해 자동으로 쉽게 태아의 성장 상태를 측정할 수 있다.

▲바이오메트리어시스트(BiometryAssist) 프로그램 화면
또한, 레이버어시스트(LaborAssist)는 분만 중 자동으로 태아가 움직이는 각도를 측정해 별도의 내진 없이 산모의 출산 진행 과정을 보다 잘 파악하도록 돕는다.
바이오메트리어시스트는 클릭 한번으로 약 85 밀리초(ms) 만에 97%의 정확도로 태아 성장 측정이 가능하다. 이러한 자동 측정은 정확한 측정 결과를 일관되게 제공함으로써 의료진이 환자 상담에 더 많은 시간을 할애할 수 있을 것으로 기대한다.
레이버어시스트는 분만 시 태아 진행각(AoP)과 아기의 머리 방향을 측정하여 의사가 태아의 진행을 파악할 수 있도록 돕는다. 출산에는 항상 위험이 따르며, 진행속도가 느릴 경우 아기에게 문제가 생길 수 있다. 높은 정확도 확보와 실시간 분만 진행을 통해 의사가 최적의 출산 방식을 결정하도록 돕고, 잠재적으로 불필요한 제왕절개를 줄일 수 있다.
바이오메트리어시스트와 레이버어시스트는 한국, 미국, 이탈리아, 프랑스, 브라질, 러시아 등 세계 80여개 국가에서 사용되고 있다. 두 솔루션을 탑재한 제품들은 미국식약처(FDA)로부터 2020년에 허가를 받았다.
인텔과 삼성메디슨은 신경추적, SW 빔포밍 및 AI 모듈 등 삼성메디슨의 차세대 초음파 솔루션의 첨단 기술을 활용하고 AI 기능을 가속화하여 최첨단 초음파 기술 개발을 위해 지속적으로 협력할 계획이다.





